Prótesis
Dentales

Recupera Tu Sonrisa y Funcionalidad.

Diseñadas para devolverte confianza y calidad de vida.

¿Qué son las Prótesis Dentales y Cómo Funcionan?

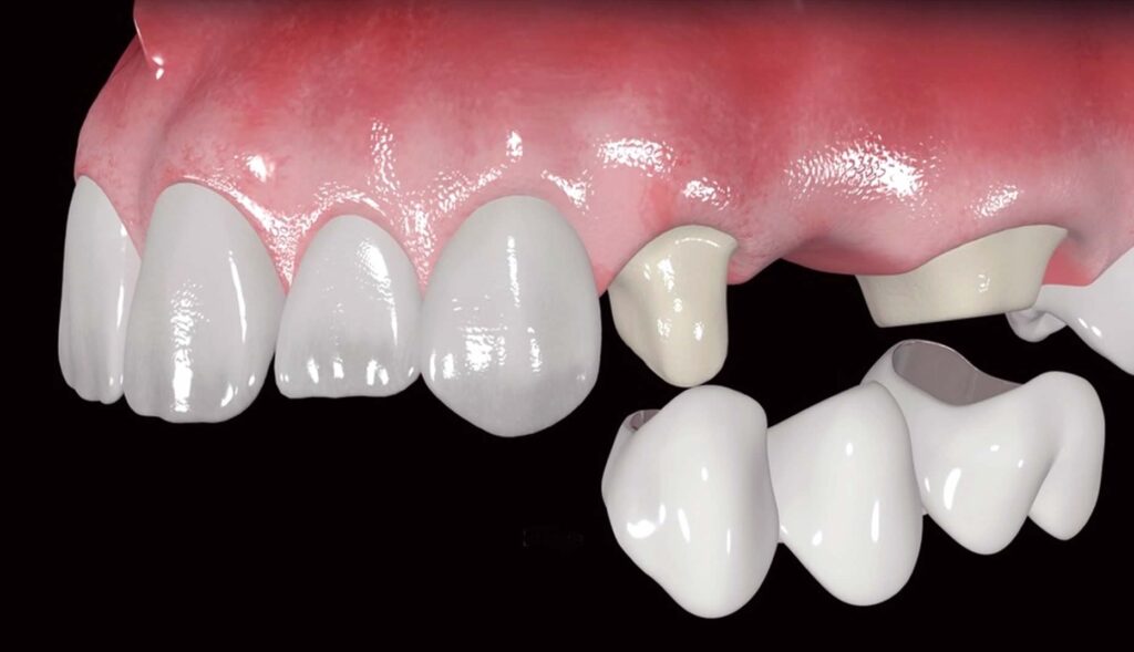
Las prótesis dentales son dispositivos diseñados para reemplazar dientes perdidos, restaurando tanto la estética como la funcionalidad de tu boca. En nuestra clínica, ofrecemos una amplia variedad de opciones, adaptadas a las necesidades de cada paciente. Nuestro objetivo es que vuelvas a sonreír, masticar y hablar con total naturalidad.

Tipos de Tratamientos Ortodónticos En Nuestra Clínica

En nuestra clínica, evaluamos tu caso de manera personalizada para recomendarte la solución que mejor se adapte a tus necesidades:
  1. Prótesis Fijas:

    • Coronas y puentes dentales que se fijan de forma permanente a tus dientes o implantes.
    • «Ideales para quienes buscan una solución duradera y estable.»
  2. Prótesis Removibles:

    • Prótesis parciales o completas que pueden retirarse para su limpieza.
    • «Una opción cómoda y accesible para reemplazar dientes perdidos.»
  3. Prótesis Sobre Implantes:

    • Combina implantes dentales con prótesis para una mayor estabilidad.
    • «La solución perfecta para máxima comodidad y funcionalidad.»

Beneficios de las Prótesis Dentales

Los Beneficios de Recuperar Tu Sonrisa

Además de devolver la funcionalidad de tu boca, las prótesis dentales tienen beneficios que van más allá de lo estético:

  • Recupera la capacidad de masticar adecuadamente.
  • Mejora la pronunciación y el habla.
  • Previene el desplazamiento de dientes adyacentes.
  • Incrementa tu confianza al sonreír y relacionarte.

Proceso del Tratamiento

¿Cómo Es el Proceso para Obtener tu Prótesis Dental?

En nuestra clínica, el proceso es sencillo y personalizado para garantizar tu comodidad y satisfacción:

  1. Evaluación inicial: Diagnóstico y plan de tratamiento.
  2. Preparación dental (si es necesario).
  3. Escaneado intraoral para realizar tu prótesis personalizada.
  4. Ajuste y colocación final.

Preguntas Frecuentes

Respondemos Tus Dudas sobre Prótesis Dentales
¿Son incómodas las prótesis dentales?

Las prótesis modernas están diseñadas para ajustarse perfectamente y ser cómodas desde el primer día. Puede haber un breve periodo de adaptación.

Con el cuidado adecuado, las prótesis pueden durar entre 5 y 10 años, dependiendo del tipo y uso.

Sí, aunque te recomendamos evitar alimentos muy duros o pegajosos para prolongar su vida útil.

¡Recupera Tu Sonrisa Hoy!

No dejes que la pérdida de dientes afecte tu calidad de vida. Solicita una consulta con nuestros especialistas y descubre qué tipo de prótesis es ideal para ti. Estamos aquí para devolverte la confianza al sonreír.

Scroll al inicio