Carillas Dentales:
Redefiniendo la Armonía de
una Sonrisa
Conoce cómo ayudamos a Javier a redescubrir su sonrisa
con un tratamiento personalizado de carillas dentales
que no solo mejoró su apariencia, sino también su confianza.
Conoce cómo ayudamos a Javier a redescubrir su sonrisa con un tratamiento personalizado de carillas dentales que no solo mejoró su apariencia, sino también su confianza.
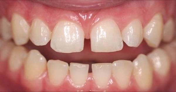
Un Problema Más Allá de la Estética
Javier llegó a nuestra clínica buscando una solución para algo que llevaba años afectando su confianza: sus dientes eran pequeños y desiguales, con espacios visibles entre ellos que alteraban la armonía de su sonrisa. Aunque nunca había tenido problemas funcionales, sentía que esto no reflejaba su personalidad ni su cuidado personal.
Nos compartió: ‘Siempre he sido cuidadoso con mi apariencia, pero mis dientes eran algo que nunca lograba solucionar. Cada vez que sonreía en fotos o vídeos, lo único que veía eran esos espacios, y ya no me sentía cómodo al sonreír.’
Este problema no solo afectaba su vida personal, sino también su imagen profesional, algo muy importante para él, ya que trabaja de cara al público. Javier buscaba una solución que no solo mejorara su sonrisa, sino que también encajara con la imagen que quería proyectar.
Un Tratamiento Diseñado para Javier
En nuestra primera consulta, escuchamos con atención las preocupaciones de Javier y realizamos un análisis detallado de su sonrisa. Utilizamos herramientas digitales para planificar su caso y mostrarle cómo se vería el resultado final antes de iniciar el tratamiento. Esto lo ayudó a visualizar la transformación y sentirse más seguro con el proceso.
El diagnóstico indicó que las carillas dentales eran la mejor solución para él. Este tratamiento no solo cerraría los espacios y corregiría las proporciones de sus dientes, sino que también mejoraría el color, logrando un tono blanco natural que armonizara perfectamente con su rostro.
Paso a Paso Hacia Una Sonrisa Renovada
El tratamiento de Javier se llevó a cabo en dos visitas cómodas y eficientes:
- Evaluación y Preparación:
Comenzamos con una limpieza profunda y un ligero ajuste en sus dientes para garantizar que las carillas se adhirieran de manera perfecta. También tomamos medidas digitales precisas para personalizar las carillas según la forma y proporción de su rostro. - Colocación de las Carillas:
En la segunda visita, colocamos las carillas de porcelana hechas a medida. Utilizamos una técnica de adhesión avanzada que aseguró un resultado duradero y completamente natural.
El proceso fue rápido y sin dolor, y Javier se sintió cómodo en todo momento.
El Resultado: Una Sonrisa que Cambió Todo
El cambio fue increíble. Al terminar el tratamiento, Javier se miró en el espejo y nos dijo: ‘¡Por fin mi sonrisa refleja quién soy!’
Su sonrisa ahora es proporcional, brillante y completamente natural. Desde entonces, nos ha compartido cómo esto ha cambiado su forma de interactuar tanto en su vida personal como profesional. Ahora sonríe con confianza en reuniones y eventos, sabiendo que su sonrisa es una de sus mejores cartas de presentación.
La Experiencia del Paciente
«Siempre había cuidado de mi apariencia, pero mis dientes eran un tema pendiente. Los pequeños espacios y la forma desigual me hacían sentir inseguro, especialmente en reuniones o cuando había personas que no conocía de por medio.»
Desde la primera consulta, el equipo me transmitió confianza. Me explicaron cada paso del tratamiento y me mostraron cómo se vería mi sonrisa al final. Eso fue un punto clave para mí, porque sabía exactamente qué esperar.
El proceso fue increíblemente sencillo. En dos citas, mi sonrisa cambió por completo. Ahora, cada vez que sonrío frente a un espejo o en una foto, siento que finalmente estoy mostrando mi mejor versión. Ha sido una experiencia transformadora. Lo recomendaría a cualquiera que quiera sentirse seguro con su sonrisa.»
Cuando nuestros pacientes comparten su experiencia, nos recuerdan por qué hacemos lo que hacemos. Aquí está el proceso de la experiencia de Javier, quien transformó su sonrisa con carillas dentales y cómo esto impactó su vida personal y profesional.
¿Qué Beneficios Ofrecen las Carillas Dentales?
- Resultados Personalizados: Cada carilla se diseña a medida para adaptarse a tus dientes y rostro.
- Un Proceso Seguro y Cómodo: Las carillas de porcelana son mínimamente invasivas y totalmente seguras.
- Durabilidad y Naturalidad: Con un cuidado adecuado, las carillas pueden durar muchos años, ofreciendo una apariencia completamente natural.
- Mayor Confianza y Seguridad: Una sonrisa renovada transforma tu autoestima y la forma en que te relacionas con los demás.
¿Listo para Transformar Tu Sonrisa?
Tu sonrisa es única, y nosotros estamos aquí para ayudarte a resaltar lo mejor de ella. Si, como Javier, deseas recuperar la confianza y proyectar la mejor versión de ti mismo, da el primer paso con nosotros. Nuestro equipo está listo para acompañarte en este cambio.
Consulta gratuita inicial para evaluar tu caso y diseñar juntos el plan perfecto para tu sonrisa.